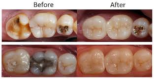
Q:What is crown?A: A crown, also called a cap, is a hollow, artificial tooth used to cover a damaged or decayed tooth. A crown looks and works very much like a natural tooth
A: When your tooth is damage, broken down, big filled, root canal treated, you may need a crown to restores the tooth and protects it from further damage.

Q: How a crown is done?

A:
- Your dentist gives you a local anesthetic.
- To make room for the crown, your dentist files down the tooth that needs to be restored.
- An impression of the filed-down tooth and nearby teeth is taken. This impression is used to custom make your final crown. The crown is built using restorative material (material used for fillings) based on the impression. The final crown will be the right shape for your mouth.
- Until your final crown is ready, your dentist places a temporary crown over the tooth that needs to be restored. The temporary crown is made from an impression of your tooth before it was filed down. It protects your tooth until the final crown is ready. A temporary crown may not have the same shape and colour as a final crown.
- On your next visit, your dentist takes off the temporary crown and puts on the final one. Your dentist checks to make sure the crown is the right fit, shape, colour and bite. If it is, your dentist cements the crown into place.
These are the steps dentists most often follow in making a crown, but your tooth may need special care. You may need orthodontic treatment, gum treatment or root canal treatment. It may take more than 2 visits to your dentist, or your visits may last longer.
Q: What are the types of crowns we have?
A: Crowns are made from various types of materials. Depending on which tooth needs a crown, your dentist will suggest a material, or combination of materials, that is right for you.
Metal crowns are made of metal. They generally last a long time and won’t chip or break. They tend not to wear down your opposing natural teeth, and they require less cut down of tooth structure. However, the metal colour does not look natural, particularly on front teeth.
Porcelain/ Ceramic crowns look the most natural. They are more brittle than metal or composite and may chip more easily. Because of this, they are not usually placed on back teeth.
Porcelain-fused-to-metal crowns look natural and are stronger than porcelain or composite crowns. They won’t chip as easily as porcelain or ceramic crowns. However, depending on their design, the metal may show if your gums are thin or shrink
.
Q: What else should I know?
A: Crowns are strong and generally last for about 10 years or longer if you take good care of them. Good maintenance like brush and floss your crown, just like you clean your natural teeth, twice a year followup by a dentist help improve the life of a crown. Crowns may not be as strong as your natural teeth. So like your natural teeth, remember not to bite down on hard objects or use your teeth to open or cut things
Smile better with crown
答:牙冠,也称为牙套 (Crown),是用于复原已损坏或龋齿的人工牙。牙冠外观及功能都非常像我们的天然牙
问:为什么我的牙齿需要牙冠呢?
答:当你的牙齿损坏,分解,处理大的填充,根管治疗,则可能需要一个牙冠来保护及修复牙齿和免受进一步的损害。



问:牙冠的治疗疗程是怎样的呢?
答:
- 然后,牙医会将有关的牙齿磨小以便让牙冠有足够的空间套上,以恢复该牙齿。
- 磨小及更改后,牙医会将该牙齿及周围的牙齿进行印模。模型那好后,牙医会将模型寄给牙科义齿制作坊,然后依靠模型制作牙冠。最后的牙冠将是正确,及只适合你个人的嘴。
- 在等待牙冠的期间,你的牙医会将一个临时冠放在该牙齿。临时牙冠是依据你尚未摩改的牙齿的模型构建的。它可以保护你的牙齿,直到最后的牙冠准备就绪。临时牙冠未必会与你最终的牙官有相同的形状和颜色。
- 当你的牙冠做好后,您的牙医会让你回到诊所里准备套上牙冠。您的牙医会将临时牙冠取出,然后替上真正的牙冠。在套上牙冠之前,牙医会检查,牙冠能稳固的套上牙齿,牙冠的形状,颜色和咬。如果都没问题,牙医将把牙冠粘合在该牙齿上。
这些步骤是以简单的案子为例。但你的牙齿有可能需要特别或例外的方法做。比如您可能需要在牙冠治疗前先矫正牙齿治疗,牙龈治疗或根管治疗。这些都可能需要两次以上的疗程,并延长的整个治疗的时间。
问:我们的牙冠有什么类型的?
答:牙冠是由各种材料制成。你的牙医会依你的情况建议适合你的牙冠类型。不同的类型,有不同好处与坏处。现在让我们看看牙冠的类型有哪些。
金属牙冠是金属做的。金属牙冠价格较为便宜,通常较为耐久,不容易磨损或断裂。他们不会对咬合的牙造成磨损,而且需要磨去的牙齿结构比起其他牙冠类型来的少。然而,金属的颜色看起来不自然,特别是在门牙。
陶瓷/陶瓷牙冠看起来最自然。但是价格比起其他的最为昂贵,它们比金属或复合材料脆弱,较容易磨损。正因为如此,它们通常不被放置在后面的牙齿。但科技的进步,现已有些陶瓷牙冠能置于后齿。
陶瓷金属复合牙冠看起来自然(仅此于全陶瓷牙冠),比起全陶瓷强硬。他们较不容易被磨损。但是,如果你的牙龈在套上了牙冠后,金属可能会显出来。
问:还有什么我需要知道的吗?
答:冠都很强及耐久,如果你把他们照顾好,一般都能用上约10年或更长的时间。良好的保养如刷牙及使用牙线,及每年两次的牙医复诊,就有助于提高牙冠的寿命。冠未必强如真牙。因此,像真牙一样,记得不要咬硬物,或用牙咬开或切割东西。
让牙冠让您的笑容更完美!

